发布日期:2026-01-27 04:12 点击次数:91

为什么上楼、下楼就膝盖疼,走平路却没事?

骨科大夫诊室里,实在每天王人能听到这么的猜忌:“大夫,我步碾儿逛街王人没事,何如一爬楼梯膝盖就疼得不成呢?” ,今天,咱们就来聊一聊这个问题。
其实这个阵势最常见的病因是髌骨软骨软化,其实叫髌骨软骨磨损更真确一些,在泛泛东说念主群中的发病率高达15-33%,而在畅通员和畅通爱重者中更是常见。
为什么楼梯成了膝盖的“试金石”?成了许多东说念主的“痛点”呢

咱们从膝重要的基本剖解结构提及。膝重要由股骨(大腿骨)、胫骨(小腿骨)和髌骨(膝盖骨)三块骨头构成。
髌骨像一块小盾牌,位于膝重要前线,它的主要作用是增多股四头肌的力量,使咱们在伸直时更省力,若是将髌骨切除,少了这个支点,咱们膝重要伸直的力量将减少30%。

了解了以上的这些剖解学问,咱们再聊聊什么是软骨软化?
浅易来说,等于障翳在髌骨背面的软骨层发生了退化、变软和损害。

健康的软骨应该是光滑、有弹性的,就像簇新的果冻,而软化的软骨则变得毛糙、失去弹性,像被过度使用的橡皮擦。
这一病理历程的医学称号是“软骨软化”,字面情理等于“软骨变软”。
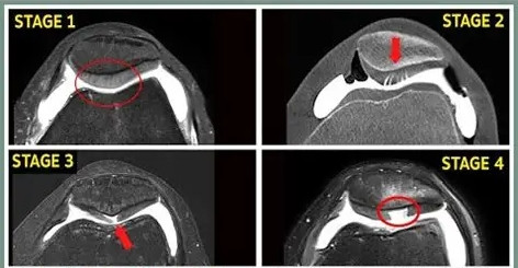
但情况不啻于此,字据严重进度,髌骨软骨问题可分为四级:
●一级:软骨名义软化,轻飘肿胀,像被浸泡过的海绵
●二级:软骨名义出现裂隙和碎屑,但未深及全层
●三级:裂隙加深,造成相通“蟹肉”样的外不雅
●四级:软骨全王人磨损,暴夸耀下方的骨头

髌骨软骨损害的发展时常与髌骨畅通轨迹颠倒密切联系,当髌骨在股骨滑车内不是稳当滑动,而是产生偏移或歪斜时,就会导致局部压力过高,从而损害软骨。
谢大夫作念了一个GIF动画,帮巨匠更好的相识这个问题:正常情况下,髌骨在屈伸的技巧,应该在滑车里畅通。

而当多种原因导致髌骨轨迹出现问题,髌骨出现外移外倾,就会发生摩擦,导致软骨磨损。

为什么髌骨软骨损害后,走平路时不疼?
走平路时,膝重要的屈曲角度较小(常常小于30度),髌骨与股骨的战役面积较大,压力散布相对均匀。就像一个东说念主躺在广阔的床上,躯壳各部位受力均匀。
关联词,当膝重要屈曲跨越60度时,真钱投注app官网这恰是陡立楼梯常常见的角度,情况就全王人不同了,此时,髌骨与股骨之间承受的压力却急剧增多。
询查标明,深谷行走运,膝重要承受的压力约略是体重的1-2倍;而上楼梯时,这个压力增多到3-4倍;下楼梯时更是高达4-5倍。
若是这个区域的软骨已秉承损,那么高大的压力就会平直作用于敏锐的软骨基层骨或炎症区域,激勉痛苦。此外,生物力学询查还发现,下楼梯比上楼梯更容易引起痛苦。

这是因为下楼梯时,膝盖不仅承受着体重的压力,还要破除离机杼汰,也等于肌肉在拉长的同期产生力量,这种裁汰神色对重要的压力更大。
科学唐突,三层级烦闷政策
濒临髌骨软骨软化,咱们并非无法可想。字据症状严重进度,不错遴荐三级烦闷政策:
1.轻度症状(仅陡立楼梯时轻飘痛苦):强化股四头肌内侧头,相当是股内侧斜肌。一个浅易灵验的手脚是靠墙静蹲,但要防备膝盖不要跨越脚尖,下蹲角度破除在30-45度之间。
2.中度症状(日常行动中偶发痛苦):除了肌肉强化,还需要接洽物理调治,如超声波、电疗等。同期,改换畅通神色也很紧要,举例用骑固定自行车代替跑步,用游水代替高强度冲击性畅通。
3.重度症状(继续痛苦影响日常生存):在大夫相易下,可能需要接洽重要内打针玻璃酸钠、PRP,或重要镜手术、软骨树立手术等更专科的调治有推断打算。
要点值得防备的是,体重搞定关于膝重要健康至关紧要。询查夸耀,体重每增多1公斤,膝重要在行走运承受的压力就会增多3-5公斤,而在陡立楼梯时,这个倍数会更高。
驻防先行,保护膝盖的日常智谋
{jz:field.toptypename/}驻防恒久胜于调治。以下是一些保护膝重要的实用冷酷:
●取舍稳妥的鞋子,幸免经久穿高跟鞋或全王人平底的鞋子;畅通前充分热身,相当注要紧腿前后肌群的拉伸;
●强化中枢肌群和臀部肌肉,一个结实的中枢能灵验分管膝重要的压力;幸免倏得增多畅通强度,罢免“10%原则”,每周畅通量增多不跨越10%。
●相当提示:当膝盖出现继续痛苦、肿胀、发烧或功能受限时,应实时寻求专科医疗匡助,而不是盲目尝试多样偏方或隐忍痛苦。
楼梯无谓成为生存阻拦,了解膝重要的好意思妙,掌合手科学的保护轮番,咱们不错让膝盖陪同咱们走更远的路,爬更高的山。