发布日期:2026-01-27 03:05 点击次数:166


病例禀报:
女性、49岁,1年前无任何诱因嗅觉心前区难堪,伴心慌气短,活动后加剧。既往有高血压病史,否定有糖尿病,不抽烟、不饮酒。否定家眷有心肌梗死、心绞痛病史。
心电图

动态心电图


超声心动图

腹黑CT

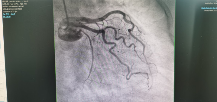
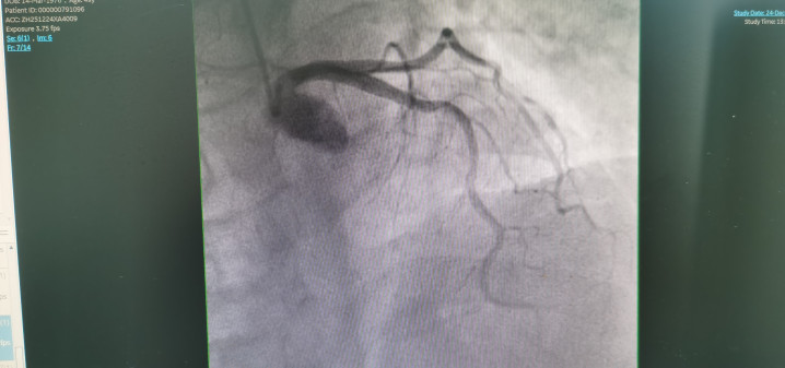
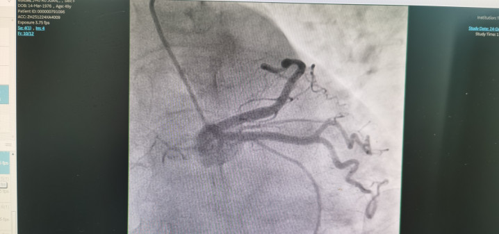
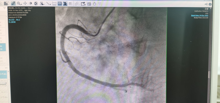
冠状动脉造影




腹黑核素显影

会诊:冠状动脉微血管病变
辩论:
中枢观念:什么是冠状动脉微血管病变?
精真金不怕火来说,咱们的腹黑供血系统像一棵树:
· 骨干和大分支:即是咱们频繁说的冠状动脉(如左前降支、回旋支)。这些血管的堵塞会导致典型的“冠心病”和心肌梗死。
· 末梢的细小分支:即是冠状动脉微血管(直径
冠状动脉微血管病变,即是指这些细小的血管结构和/或功能出现格外,导致心肌无法取得奢华的血液供应(心肌缺血),但进行冠脉造影查验时,大的冠状动脉频繁是流畅的,莫得昭着窄小。
因此,它也被称为“非窒碍性冠心病”或“微血管心绞痛”。
{jz:field.toptypename/}为什么它如斯紧迫且常被漠视?
1. 发病率高:计划标明,在因心绞痛症状行冠脉造影的患者中,约有40%-60% 的女性,和20%-30% 的男性,其大血管并无严重堵塞,而微血管病变可能是其病因。
2. 会诊周折:老例查验(如心电图、腹黑超声、冠脉CTA、以致冠脉造影)经常无法发现它,因为这些查验主要看大血管。
3. 严重影响活命:患者常有反复发作的胸闷、胸痛、气短,活动耐力下跌,活命质料严重受损。
4. 预后风险:天然急性心梗风险可能低于大血管病变,但恒久的心肌缺血仍会导致心力阑珊、心律失常等不良后果。
主要病因与机制
1. 内皮功能失调:血管最内层的内皮细胞受损,无法平时舒张血管。这是最常见的功能性问题。与高血压、高血脂、糖尿病、抽烟、绝经后雌激素阑珊关联。
2. 微血管痉挛:细小血管格外收缩,导致一过性血流减少。
3. 血管重塑与窄小:微血管壁自己增厚、管腔变窄。常见于恒久高血压、糖尿病引起的血管硬化。
4. 血管外压迫:心肌肥厚(如肥厚型心肌病)或间质纤维化,从外部压迫微血管。
5. 其他:系统性炎症(如自身免疫病)、化疗药物毁伤等。
临床发扬
· 典型症状:劳力性胸痛或胸闷,真钱投注app平台与经典心绞痛通常。但无意症状更不典型,如合手续时分更长、对硝酸甘油反馈欠安、伴有昭着疲顿感。
· “心绞痛”但造影平时:这是最典型的特征。
· 好发东说念主群:尤其多见于绝经后女性,常消逝有高血压、糖尿病、臃肿、虐待或抑郁现象。
会诊模范(会诊是最大的挑战)
由于冠脉造影平时,需要借助更迥殊的查验:
1. 无创查验:
· 腹黑磁共振:检测心肌留意储备指数,是评估微血管功能的金圭臬无创模范。
· 正电子辐射断层扫描:可量化评估心肌血流储备。
· 负荷超声心动图:在知道或用药负荷下,不雅察是否有局部室壁知道格外。
2. 有创查验(金圭臬):
· 冠状动脉造影+微轮回功能评估:在导管室进行。
· 血流储备分数:评估大血管。
· 微轮回阻力指数:有益评估微血管阻力的关键筹谋。
· 乙酰胆碱激励西席:诱发血管痉挛,用于会诊微血管或血管痉挛性心绞痛。
调养与贬责
调养原则是轮廓贬责,约束症状,改善预后。
1. 基础调养与活命形势侵扰:
· 约束危急因素:严格约束血压、血糖、血脂。
· 健康活命形势:戒烟、限酒、地中海饮食、规章有氧知道(如步碾儿、游水)。
· 情谊贬责:松开压力,调养虐待/抑郁。
2. 药物调养(中枢):
· 改善内皮功能与血管舒张:
· 尼可地尔:钾通说念灵通剂,兼具延迟大、小冠脉作用,是国表里指南推选的一线药物。
· 雷诺嗪:可改善心肌代谢,缓解心绞痛症状。
· 传统抗心绞痛药物:
· β-受体禁绝剂(如好意思托洛尔):缩短心率、心肌耗氧,常算作一线。
· 钙通说念禁绝剂(如地尔硫卓):消灭血管痉挛,尤其适用于有痉挛因素的患者。
· ACEI/ARB类(如培哚普利、缬沙坦):降压、保护血管内皮。
· 他汀类药物:即使血脂不高,也常使用以褂讪斑块、改善内皮功能。
· 留意:硝酸酯类药物(如硝酸甘油)对微血管病变的扫尾有限,因为其主要延迟大血管。
3. 其他调养:
· 关于难治性患者,可谈判增强型体外反搏,改善全身及心肌留意。
· 积极探索中的模范包括脊髓刺激、经冠状动脉骨髓细胞输注等。
回来
冠状动脉微血管病变是一种的确存在且常见的腹黑病。它诠释注解了为什么许多患者有典型心绞痛症状,但冠脉造影却“平时”。其会诊需要医师有高度的警惕性并借助迥殊查验。调养上需要医患共同发奋,进行恒久、轮廓性的贬责。
若是您或家东说念主有疑似症状,务必筹谋心内科医师,十分是擅长冠脉微轮回疾病的巨匠,进行模范评估和个体化调养。